現今社會崇尚外在美,女生被主流風氣影響希望成為「白瘦美」,甚至不少人寧願做手術,也要成為大眾主流的美。一名31歲德國女模因想取悅另一半,豪花過百萬做增高手術,成功從167CM變為181CM,不過換來的卻是難以承受的痛苦!
▶️立即下載U Lifestyle App:https://onelink.to/ulapp3
綜合外媒報導,一名德國模特兒Theresia Fischer表示7年正值24歲的時候,當時的丈夫尤其喜愛長腿辣妹,在其不斷要求下,她接受了痛苦的增高手術。她透露,「他(丈夫)常常會說:『沒有我的話,你什麼都做不了,你需要我』,當這種說話聽了20次、30次、60次、70次,德模漸漸相信他,我相信自己好像真的不能沒有他」。

Theresia Fischer表示原本她對自己的樣貌與身高都非常有自信,身兼藝人、主持和模特兒三職的她樣子甜美,更擁有姣好身材,在事業上發展順利,亦在社交媒體平台上收獲大批粉絲:TikTok上過200萬粉絲、Instagram上亦有超過14萬粉絲。沒想到如此完美的女生卻在丈夫的鼓吹下做了手術。

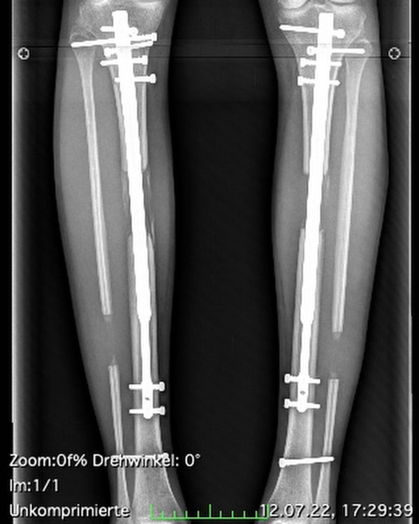
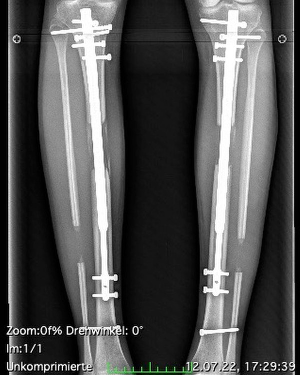
Theresia Fischer事後回想起這段增高過程直言是「惡夢般痛苦」,「我的脛骨被打斷,小腿肌肉被撕裂,在裡面還安裝一個可伸縮的裝置,每次使用裝置時都可以聽到『咔噠咔噠』的聲音」,她更指出,手術後還得承受即使吃止痛藥也不能忍受的劇痛。
↓點擊放大圖片↓
Theresia Fischer坦言,她現在非常後悔曾接受增高手術,幸好她後來與這名恐怖情人離婚,並結識到現任男友,二人十分恩愛。她同時也希望藉由自己的親身經歷向大眾勸告,增高手術金額耗費巨大,術後還要遭受極大的身體痛楚,與一般的整容手術大大不同,呼籲各位女生千萬不要輕易去嘗試!

↓點擊放大圖片↓
來源:IG@theresiafischer






